Rüde *Jimi* 


Rasse: Mischling
Größe: mittel
Alter: ca. 7 Jahre
Kastration: nein
Beschreibung : Jimi ist ein lustiger, temperamentvoller und kontaktfreudiger Hund, der vertraeglich mit den anderen Rueden im Zwinger ist. Er ist ein sehr aktiver und verspielter Hund, der gerne Trubel mag. Eignet sich fuer eine Familie mit Kindern, weil Jimmi selbst noch wie ein Kind ist.
Rettungspatin
Kerstin Sander, 50 €
komplett !
Nachtrag:
Jimi ist beim Toben mit den anderen Rueden in den Gitterstäben hängen geblieben und hat sich dabei den rechten Vorderlauf gebrochen. Jimi hat einen Schienenverband bekommen und ist zur Zeit im Isolierzimmer untergebracht. Wir haben Mirella darum gebeten, ihn in
der Tierklinik vorzustellen und das Bein nochmals untersuchen zu lassen. Außerdem muss seine Transportfähigkleit noch abgeklärt werden.
Aktuelles:
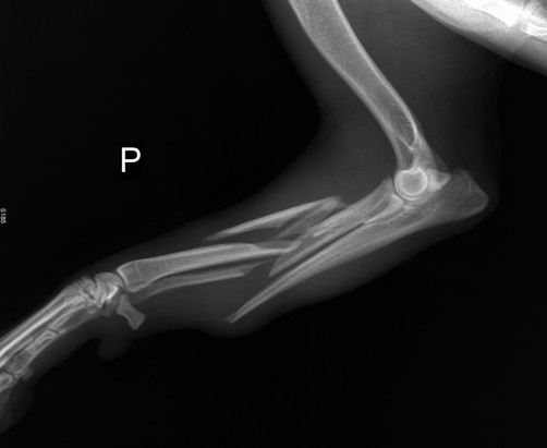
Mirella hat Jimi auf unseren Wunsch hin in die Tierklinik gebracht, damit sein Bein geröntgt und optimal versorgt werden kann. Der Bruch an seiner rechten Vorderpfote ist kompliziert, ein Splitterbruch an Elle und Speiche. Jimi war bei allen Untersuchungen sehr brav, obwohl
er starke Schmerzen hat. Durch seine liebenswerte Art hat er sofort alle Herzen des Klinik-personals im Sturm erorbert. Bereits für heute (14.06.) wurde die OP angesetzt, wobei der Bruch verschraubt wird.
Kosten der OP incl. aller Untersuchungen ca. 865 PLN = 220 Euro.
Für Jimi suchen wir Medizinpaten .....
Erika Reichert, 220 €
komplett !
Mirella hat uns die Röntgenaufnahmen von Jimi, vor und nach der OP, als Datei geschickt.
Sie schreibt : Die Aerzte haben gesagt, dass der Bruch kompliziert war. Ein Splitterbruch
ohne OP verheilt nicht. .Jimi hat die OP sehr gut verkraftet. Er ist stark , brav und laechelt.
Er bleibt bis morgen in der Klinik , dann bringe ich ihn zurueck ins TH. In zwei Wochen hat
Jimi einen Termin in der Klinik (Entfernung Naht und Verband). Bis dahin wird Jimi die Schmerzmittel bekommen. Laut Aussage der Tieraerzte ist Jimi transportfaehig (auch mit dem Verband). Der allgemeine Gesundheitszustand von ihm ist gut. Das einzige, was Jimi jetzt nicht darf, ist das Laufen. Der Transport wird dem Hund nicht schaden. 

Mirella hat Jimi heute (16.06.) aus der Klinik abgeholt und ihn wieder zurück ins TH gebracht.
Neue Fotos von einem weiterhin fröhlichen Jimi .... -:)
Jimi befindet sich nun bei einem befreundeten TSV in Sachsen !




Jimi kam am 2. Juli zusammen mit Lord und Bilbo zu uns ins Tierheim.
Er hatte sich beim Spielen einen Splitterbruch am rechten Vorderbein zugezogen, welcher Mitte Juni operiert werden musste. Wir werden nun die Nachsorge übernehmen. Bis jetzt heilt der Bruch ganz gut und wir hoffen, dass er bald wieder richtig fit ist.
Jimi ist ein freundlicher Rüde, welcher viel Temperament hat und mit seinem Handicap sehr gut leben kann. Er hat kaum Einschränkungen im Bewegungsablauf und freut sich einfach über jede Streicheleinheit und kurze Gassirunden.
Auch beim Tierarzt war er sehr lieb. Er ist einfach nur ein Goldschatz und wir wünschen ihm
so sehr, dass er schnell ein neues Zuhause findet.
Die Kosten der Nachsorgebehandlungen von Jimi übernehmen wir.